Knocked-out teeth require immediate action to save the tooth. Learn how to handle the injury, preserve the tooth, and when to seek emergency dental care. […]
What to Do If You Knock Out a Tooth
Knocked-out teeth require immediate action to save the tooth. Learn how to handle the injury, preserve the tooth, and when to seek emergency dental care. […]
Choosing the right solution for multiple missing teeth involves comparing dental implants and traditional dentures. Discover which option offers better comfort, longevity, and jawbone support for your smile. […]
Age plays a significant role in orthodontic success. Explore the key differences between Invisalign for adults and teens, including jaw development, bone density, and compliance factors. […]
A gap in your smile can affect how you feel day to day. It might make you think twice before you laugh freely or cause you to choose softer foods at dinner. You may notice your speech feels a little different or that other teeth are starting to shift into the empty space. Yes, you […]
You may have noticed that your upper front teeth overlap your lower front teeth more than you’d like. This common dental concern, called an overbite, can affect everything from how you chew your food to how you feel about your smile. At Crystal Smiles Dental, many families ask about modern and discreet ways to address […]
Has your teenager come home from school complaining about pain in the back of their mouth? Or maybe you’ve been putting off dealing with that nagging ache behind your molars. When wisdom teeth start causing trouble, you might wonder if removal is your only option. You don’t always have to get your wisdom teeth out. […]
You share a drink with your partner, kiss your children goodnight, or use a family member’s toothbrush in a pinch. These everyday moments might seem harmless, but you might be wondering if gum disease can spread to the people you care about. Gum disease itself isn’t contagious, but the bacteria that cause it can transfer […]
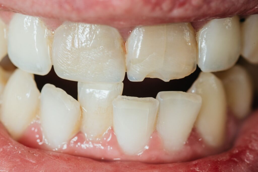
You bite into an apple and feel something hard in your mouth — a piece of your tooth. Your tongue immediately finds the rough, sharp edge where your smooth tooth used to be. Whether you chipped your tooth on food, during sports, or in an accident, you’re probably wondering what happens next. At Crystal Smiles […]
Deciding on orthodontic treatment for your family is a big step. Both Invisalign and traditional braces are popular choices that can help create a beautiful, healthy smile. To help you explore the options, here’s a straightforward comparison between the two. There isn’t a single answer that fits everyone, because every smile is unique. The “better” […]
It’s a common question in many households—should you floss first or brush first? It’s a simple question with answers that can feel a little confusing, especially when you want the best care for your family’s smiles. Getting the order right can help make your daily routine even more effective at keeping teeth clean and healthy. […]